TAPADURAS DENTALES

$20.000 pesos

Recupera tu sonrisa radiante con DenTalentti

POR FIN TAPADURAS DENTALES $20.000

Básicamente mejora la estética de tu sonrisa

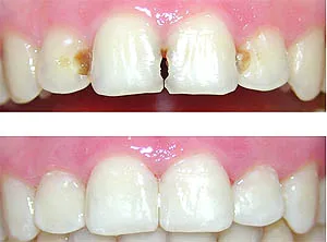
En general, la tapadura dental mejora notablemente la estética de tu sonrisa, restaurando la forma natural y el color de tus dientes.

De manera similar brinda una apariencia más atractiva, saludable y armoniosa, realzando tu rostro y fortaleciendo además tu confianza al sonreír con seguridad.

Tapadura dental

En general detienen el avance de la caries

En todo caso las tapaduras dentales detienen el avance de la caries al eliminar el tejido dañado y sellar la cavidad con materiales resistentes.

Por lo tanto, evitan la propagación de bacterias y previenen complicaciones que podrían requerir tratamientos más complejos.

Antes $30.000

Ahora $20.000

Sin duda prolongan la vida útil del diente

En realidad las tapaduras dentales prolongan la vida útil del diente al reforzar su estructura debilitada y evitar que la caries avance.

Además protegen el nervio dental, mantienen la función masticatoria y previenen fracturas o infecciones que podrían comprometer la pieza dental a futuro.

POR QUÉ ELEGIR TAPADURAS DENTALES EN DENTALENTTI

Resultados visibles inmediatamente

Tratamiento seguro

Atención profesional garantizada

CUÁL ES EL PROCEDIMIENTO

Tapaduras dentales en puente alto

Evaluación dental

La evaluación dental es un examen detallado donde el odontólogo revisa dientes, encías y estructuras orales, detectando caries, placa, estado de los dientes y posibles enfermedades para planificar el tratamiento adecuado.

Tratamiento dental

En el tratamiento dental se realizan limpiezas, empastes, extracciones, blanqueamientos, prótesis y correcciones estéticas o funcionales, buscando eliminar enfermedades bucales y mantener dientes sanos, fuertes y una sonrisa atractiva.

Tapaduras dentales

Seguimiento y control

En el seguimiento dental se controlan los resultados del tratamiento, se evalúa la salud bucal en profundidad, se refuerzan los hábitos de higiene diaria y se detectan de forma temprana posibles recaídas, caries o nuevas afecciones.

POR FIN TAPADURAS DENTALES PUENTE ALTO

GARANTIZADAS… VISÍTANOS YA

Conoce ahora todas nuestras ofertas

Reserva una cita con nosotros ahora!