TAPADURA DENTAL PRECIO EN PUENTE ALTO

POR FIN TAPADURA DENTAL PRECIO EN PUENTE ALTO 20.000 PESOS

Es un procedimiento dental busca restaurar la anatomía de las piezas dentales, el precio de las tapaduras dentales depende de la condición en la que se encuentre el diente.

Valor 20.000 pesos

Agenda tu cita por la página en los siguientes links o también directamente al Whatsapp +56 961785501. Agenda ya !!!

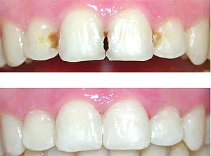
TIPOS DE TAPADURAS QUE USAMOS EN LA CONSULTA

Aunque las tapaduras de amalgama de plata aún se utilizan, en nuestra clínica hemos optado por alternativas más modernas y seguras para nuestros pacientes.

Por ello, dejamos atrás las amalgamas y nos especializamos en restauraciones con resina compuesta, material de última generación que ofrece ventajas en estética y funcionalidad.

La resina compuesta se adapta al color natural de los dientes, logrando restauraciones prácticamente invisibles que embellecen la sonrisa y refuerzan la confianza en la imagen personal.

A diferencia de las amalgamas tradicionales, que son visibles y pueden oscurecer la dentadura, la resina se integra de forma armónica con la estructura dental.

Además de su valor estético, este material es biocompatible y seguro para los tejidos orales. Su alta resistencia al desgaste asegura restauraciones duraderas, mientras que su capacidad adhesiva permite conservar más tejido dental sano, favoreciendo la salud bucal a largo plazo.

CUÁL ES EL PROCEDIMIENTO

Tapadura dental

Evaluación dental

La evaluación dental es un examen detallado donde el odontólogo revisa dientes, encías y estructuras orales, detectando caries, placa, estado de los dientes y posibles enfermedades para planificar el tratamiento adecuado.

Tapadura dental

Tratamiento dental

En el tratamiento dental se realizan limpiezas, empastes, extracciones, blanqueamientos, prótesis y correcciones estéticas o funcionales, buscando eliminar enfermedades bucales y mantener dientes sanos, fuertes y una sonrisa atractiva.

Tapadura dental

Seguimiento y control

En el seguimiento dental se controlan los resultados del tratamiento, se evalúa la salud bucal en profundidad, se refuerzan los hábitos de higiene diaria y se detectan de forma temprana posibles recaídas, caries o nuevas afecciones.

«Es hermoso verte sonreir, sabiendo que sin duda nosotros somos la razón»

Conoce ahora todas nuestras ofertas

Reserva una cita con nosotros ahora!