DENTISTA PLAZA PUENTE ALTO

landing ofertas dentales

PROMOCIÓN POR EL PRESENTE MES

DENTALENTTI, TU DENTISTA PLAZA PUENTE ALTO

En DenTalentti somos tu dentista Plaza Puente Alto, con más de 20 años de trayectoria cuidando sonrisas con compromiso y excelencia. Nuestra experiencia nos ha permitido consolidarnos como una consulta de confianza, combinando tradición y constante innovación. Contamos con tecnología de última generación para diagnósticos precisos y tratamientos eficientes, además de un equipo de profesionales altamente capacitados y en permanente actualización. Ofrecemos atención integral, cercana y personalizada para cada paciente. En DenTalentti trabajamos para brindarte seguridad, calidad y resultados duraderos que reflejen salud, bienestar y confianza en cada sonrisa. Tu sonrisa es nuestra mayor prioridad diaria y permanente compromiso.

 

¡SONRÍE CON CONFIANZA EN DENTALENTTI!

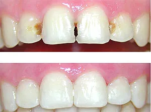
Resultados que se notan

Trabajamos con materiales de  calidad y técnicas actualizadas para lograr tratamientos duraderos y estéticos.

 

Dentista Plaza Puente Alto

Profesionalismo y experiencia

Contamos con formación actualizada y experiencia clínica para poder entregarte tratamientos seguros y efectivos.

 

Explicación de tratamientos

Te explicamos cada procedimiento, opciones y costos para que tomes decisiones informado.

 

Profesionales capacitados

Contamos con profesionales altamente capacitados, con amplia experiencia y formación continua. Brindamos una atención segura y personalizada, utilizando técnicas modernas y materiales de alta calidad, para garantizar tratamientos eficaces, resultados confiables, la máxima satisfacción y por otro lado el bienestar de cada paciente.

Atención personalizada

En DenTalentti ofrecemos atención personalizada, escuchamos tus necesidades y diseñamos tratamientos a medida. Priorizamos tu comodidad y confianza, utilizando tecnología moderna y profesionales capacitados para lograr resultados duraderos, funcionales y estéticos que mejoran tu salud oral y por otro lado tu calidad de vida.

Ubicación privilegiada

Nuestra clínica cuenta con una ubicación conveniente, de fácil acceso y con estacionamiento disponible para mayor comodidad. Además ofrecemos un entorno seguro y accesible, pensado para facilitar su visita y brindarte una experiencia tranquila, confortable y sin complicaciones inclusive desde tu llegada.

Ofertas válidas hasta agotar los cupos - No te quedes fuera