"El arte de nuestra profesión es amar siempre la sonrisa de los demás"

PROMOCIÓN DENTAL EN PUENTE ALTO....APROVECHA YA!!!

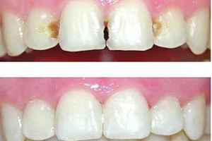
Oferta Tapaduras dentales

Opción 1

Recupere la forma y además la anatomía y función de tus piezas dentales que han sido afectadas ya sea por caries o por traumas.

Valor 25.000

Opción 2

Ven acompañado. Si vienes con una persona a tratarse, cada tapadura, una tuya y una de tu acompañante, tendrían un valor de 22.500 por una sola vez.

Valor 45.990. 

Agenda tu cita por la página en los siguientes links o al Whatsapp  +56961785501

Ya no esperes más. Agenda YA

Oferta Limpieza Dental

Opción 1

La limpieza dental en Puente Alto, incluye Profilaxis,  Detartraje supragingival,  y  además  Pulido coronario.

Valor 19.990 

Opción 2

Ven acompañado.  Limpieza dental en Puente Alto, incluye Profilaxis, Detartraje supragingival, Limpieza y además Pulido coronario por dos personas.

Valor 35.990 

Agenda tu cita por la página en los siguientes links o al Whatsapp +56961785501

Ya no esperes más. Agenda YA

Oferta Carilla dental

Las carillas dentales son una solución estética para mejorar la apariencia de los dientes. Corrigen problemas como son las manchas, fracturas o desalineaciones.

Valor 40.000

Agenda tu cita por la página  en los siguientes links o al Whatsapp +56961785501

Ya no esperes más. Agenda YA

Oferta Blanqueamiento

«¡Deslumbra con una sonrisa radiante! Además no dejes pasar nuestra oferta de blanqueamiento dental con resultados visibles desde la primera sesión.

Valor 50.000

Agenda tu cita por la página en los siguientes links o al Whatsapp +56961785501

Ya no esperes más. Agenda YA

PROMOCIÓN DENTAL EN PUENTE ALTO VÁLIDA POR EL PRESENTE MES O HASTA CAMBIAR LA PRESENTE PROMOCIÓN

Ciertamente la salud dental impacta no solamente en la autoestima, sino también en la calidad de vida de cada persona, ya que el tener los dientes sanos y las encías saludables facilita en todo sentido la alimentación, la comunicación y mejora la imagen personal.

Debe ser recordado que una buena higiene bucal contribuye a evitar problemas sistémicos como enfermedades cardiacas y diabetes. 

Promoción dental en Puente Alto

Conoce acerca de nuestra consulta!

Reserva una cita con nosotros!